Всё, что нужно знать о брекетах: показания, виды и цены

Изображение: Мария Васильева/ЯСИА

Всё, что нужно знать о брекетах: показания, виды и цены / ЯСИА
Изображение: Мария Васильева/ЯСИА

  27.02.2023 г.
Автор текста: ЯСИА

В последние годы в Якутии наблюдается рост спроса на ортодонтические услуги, в том числе и установку брекетов. В беседе со стоматологом-ортодонтом, кандидатом медицинских наук и доцентом кафедры Мединститута Северо-Восточного федерального университета Ксенией Пиксайкиной ЯСИА обсудило лечение брекет-системой.

Типичные проблемы якутян

Якутия — холодный регион. Наш эксперт отмечает, что этот фактор оказывает огромное влияние на здоровье зубов и прикус. Недостаток витамина Д, хронические риниты, тонзиллиты и аденоиды имеют свои пагубные последствия.

Для якутян характерны сужение челюстей, которое ведёт к скученности зубов, и общая слабость мышц челюстно-лицевой области, развивающаяся из-за неправильного дыхания носом.

Неправильный прикус: причины возникновения и последствия

Непродуманное удаление зубов ведёт к деформации зубных дуг. Природа не любит пустоты, зубы начинают смещаться, наклоняться — это происходит постепенно. После начинает смещаться сама челюсть, становится заметна деформация лица и характерный щелчок во время открывания и закрывания рта.

Большое влияние на формирование неправильного прикуса также оказывают разные привычки — проталкивание языка между зубами, дыхание через рот, прикусывание губ и щек, а также частое поедание семечек и привычка грызть ручку. Даже такие обыденные вещи, как ношение сумки только на одном плече, играют свою роль.

Обычно челюстно-лицевые деформации являются неотъемлемой частью проблем со спиной, дыханием, аллергиями, хроническим недосыпом, апатичностью, храпом. Также неправильное положение челюсти из-за скученности зубов ведёт к частым головным болям, нарушениям осанки и негативно влияет на дикцию.

Неправильный прикус приводит к повышенной стираемости зубов, кровоточивости десен, поскольку жевательная нагрузка распределяется неравномерно. А из-за плохого пережевывания пищи развиваются заболевания желудочно-кишечного тракта.

Эксперт советует родителям учить детей правильно дышать носом. Свободные носовые ходы как раз обеспечат закрытый рот, правильное положение языка, что, в свою очередь, создаст нужное давление в ротовой полости, которое может в будущем повлиять на формирование правильного прикуса и ровного зубного ряда.

Возрастные ограничения

Эксперт советует водить детей к ортодонту на консультации с четырёх лет, поскольку к пяти годам временный (молочный) прикус полностью сформирован. Можно понять и увидеть соотношение челюстей и возможные будущие проблемы, чтобы предотвратить их, используя различные съёмные и несъёмные аппараты.

Для детей чаще всего рекомендовано ношение пластинок для расширения челюсти и исправления положения 2-3 зубов, а полноценную брекет-систему ставят подросткам 13-14 лет, когда прикус полностью сформировался. Однако сейчас детям 8-10 лет могут поставить брекеты на передние зубы и тем самым открыть место для прорезания коренных зубов.

При этом важно учитывать уровень гигиены у ребенка, поскольку слабый уровень чистки зубов при ношении ортодонтических аппаратов может привести к кариесам, воспалениям десен, их кровоточивости, камням и налётам.

Ставить брекеты никогда не поздно. На просторах Интернета можно найти множество историй людей и в 30, и 40, и даже 50 лет, прошедших успешное лечение брекет-системами.

Начало лечения брекет-системой

По словам эксперта, в первую очередь необходимо сделать конусно-лучевую компьютерную томографию, если беспокоят суставы ВНЧС (височно-нижнечелюстного сустава), дополнительно — магнитно-резонансную томографию.

Во время консультации у ортодонта проводится осмотр полости рта и фотопротокол зубных рядов, при необходимости — сканирование челюстей и изготовление гипсовых моделей. Составляется план лечения, перед началом любого ортодонтического вмешательства необходимо полностью санировать полость рта: удалить зубы, вылечить кариес, заболевания десен и заменить старые пломбы по направлению доктора. Финальный этап перед установкой брекет-системы — профессиональная чистка зубов.

Ставить брекеты рекомендуется на обе челюсти, даже если зубы на одной из них не подвержены скученности. Это делается для гармоничного расположения и соприкасания зубов верхнего и нижнего ряда.

Этапы лечения брекет-системой

После установления брекет-системы необходимо без пропусков посещать ортодонта.

Сначала применяются более тонкие дуги с малой силой воздействия, и постепенно заменяются на более толстые. Замена дуги производится в среднем раз в 1,5-2 месяца. Этап выравнивания зубов может занять от 8 месяцев до года, первые результаты заметны уже спустя 3-4 месяца.

Второй этап — исправление прикуса. Производится при помощи жестких дуг, которые удерживают сдвинутые зубы в новом положении, и дополнительных приспособлений (цепочек, мини-винтов, тяг и др.). Эти приспособления позволяют изменить глубину прикуса, закрыть пространства от удалённых зубов, изменить форму зубных дуг.

Завершающий этап необходим для установления плотных контактов между зубами верхней и нижней челюстей. Он также предполагает ношение тяг и длится от 3 до 6 месяцев с контрольными посещениями раз в месяц.

Средний срок лечения брекет-системой составляет около двух лет.

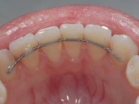
После снятие брекетов необходимо ношение капы или ретейнеров для закрепления результата, поскольку в некоторых случаях зубы могут вернуться в прежнее положение. В процессе ортодонтического лечения происходит растяжение связки зуба, поэтому необходимо на какое-то время закрепить их в костной ткани, чтобы она уплотнилась. Для этого устанавливается ретейнер — проволока, которая крепится с внутренней стороны передних зубов (от клыка до клыка). Дополнительно назначаются ночные капы, которые удерживают боковые группы зубов.

Гигиена с брекетами

При ношении брекет-систем эксперт советует делать профессиональные чистки раз в полгода. А для тщательного домашнего ухода необходимо использование ирригатора, зубных нитей и специальных щеток-ершиков для межзубных участков, а также зубной пасты с содержанием фтора. Чистить зубы рекомендуется после каждого приема пищи.

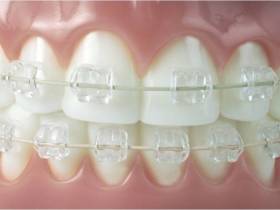
Виды брекетов

Вестибулярные брекеты — это наружные конструкции, которые крепятся к передней поверхности зубов. Они различаются по виду материалов, из которых изготовлены.

По материалам:

— металлические;
— керамические;
— сапфировые.

По типу фиксации:

— Лигатурные брекеты

Дуга в них удерживается с помощью металлических элементов или силиконовых колец. Среди основных достоинств системы — высокая эффективность и доступность. В числе недостатков — продолжительный период адаптации, сложность гигиены зубов и необходимость часто посещать лечащего врача.

— Безлигатурные (самолигирующие) брекеты

Дуги фиксируются закрытием в пазах брекетов на замочек. Они легко открываются и закрываются, что значительно сокращает время приёма у ортодонта. Гигиена с ними легче, а особенности конструкции способствуют более быстрому перемещению зубов в нужное положение.

Лингвальные брекеты крепятся на внутреннюю часть зубов, и потому внешне практически незаметны. Их главный недостаток в том, что они мешают дикции и тщательной гигиене, а лечение с ними длится дольше.

Выбор специалистов

Эксперт отмечает: рекомендуется пройти консультацию минимум у трёх специалистов, чтобы понять, какую технику лечения они используют, какие примерные сроки ставят, какие предлагают пути решения имеющихся проблем. Например, одни специалисты рекомендуют удалять «лишние» зубы, а некоторые стремятся сохранить их все. Таким образом, можно выбрать ортодонта, чьи взгляды на способ лечения больше всего импонируют пациенту.

Цены

В клиниках Якутска установка самолигирующих брекетов Damon Q стоит около 150 тысяч рублей, а лигатурных (то есть обычных, на резинках) — от 160-180 тысяч (это цены под ключ, то есть с учётом всех приёмов у ортодонта). Комбинированная система — 200 тысяч рублей. Есть разница в ценах в зависимости от бренда.

По акции цена заметно снижается: 20-28 тысяч рублей установка лигатурной системы и 30-35 тысяч самолигирующая система (цены за одну челюсть).

Установка керамических (прозрачных) брекетов — от 70 тысяч рублей на одну челюсть, цена под ключ составляет примерно 210 тысяч рублей.

Автор: Василиса Прокопьева


Автор текста: ЯСИА
Якутское-Саха Информационное Агентство
Якутское-Саха Информационное Агентство было создано 31 августа 1991 года решением Верховного Совета и Совета Министров ЯАССР и зарегистрировано Верховным Советом ЯАССР.


Источник информации
Якутское-Саха Информационное Агентство
Зарегистрирован: 09.01.2025 г.
Партнёрская программа
Участвуя в Партнёрской программе V4.Market любая организация РФ самостоятельно публикует свои информационные материалы.
Возврат к списку

Новости по рубрикам